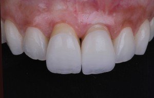
Caso em parceria com Dr Edgard Fonseca

< Voltar